LARVAL STRATEGY OF TWO SPECIES OF SEED-FEEDING CHALCIDOIDEA PARALLELS THAT OF PARASITOID KOINOBIONTS

Authors

DOI:

https://doi.org/10.4257/oeco.2020.2404.13

Keywords:

chalcid wasps, larval development, phytophagy, seed development, seed predation

Abstract

 

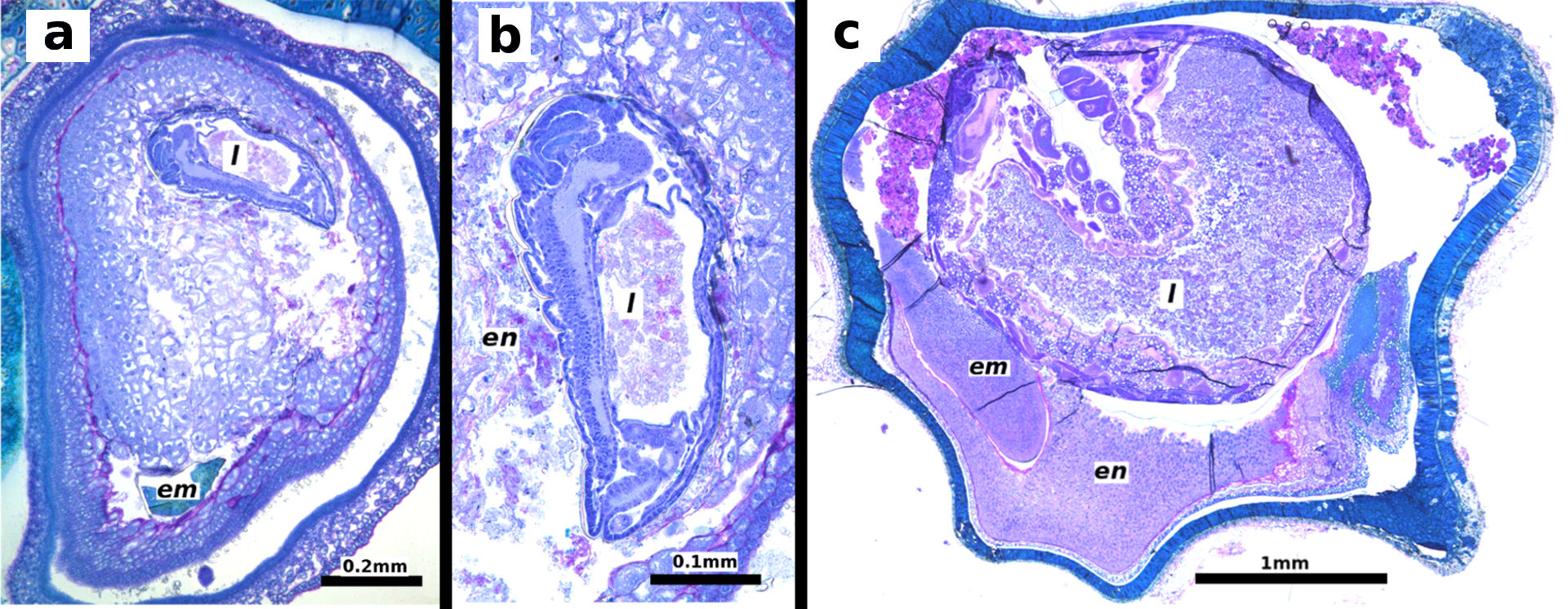
The association between ontogenetic processes in plants and phytophagous insects is not traditionally considered in studies of insect-plant interactions. Angiosperm seeds impose important constraints on seed predators; the structural complexity of seeds and the progressive accumulation of resources throughout their development limit the time windows when resources can be retrieved by the predator. Some holometabolous insects deposit their eggs inside immature seeds, with the immature stages of both insect and plant cohabiting in a space with limited but potential resources. We studied the larval development of Megastigmus transvaalensis (Hussey, 1956) (Chalcidoidea: Megastigmidae) and Bephratelloides pomorum (F., 1804) (Chalcidoidea: Eurytomidae) and the seed development of their respective hosts, Schinus terebinthifolia (Raddi, 1820) (Anacardiaceae) and Annona crassiflora (Mart., 1841) (Annonaceae). Our results show that both M. transvaalensis and B. pomorum oviposit in immature fruits, whose protective tissues surrounding the seeds are softer. The first larval instar interferes little with the development of the seed, allowing both seed and plant embryo to continue growing. When the infested seed reaches the size of a mature, non-infested seed, the larva grows rapidly and consumes most of it. M. transvaalensis induces minor modifications in the endosperm cells, while B. pomorum does not induce any visual modifications. The strategy of allowing seed/plant embryo to continue growing shows similarities to the endoparasitic koinobiont strategy followed by some chalcid parasitoids, which keep their host alive while feeding upon it. Future studies should be expanded to other chalcid seed predators in order to understand the evolution of convergent patterns among seed-feeding insects and its evolution in relation to parasitoid strategies inside the group.


Downloads

Download data is not yet available.

References

Alves-Costa, C. P. & Knogge, C. 2005. Larval competition in weevils Revena rubiginosa (Coleoptera: Curculionidae) preying on seeds of the palm Syagrus romanzoffiana (Arecaceae). Naturwissenschaften, 92, 265–268. DOI: 10.1007/s00114-005-0620-6

Batiste, W. C. 1967. Biology of the trefoil seed chalcid, Bruchophagus kolobovae Fedoseeva (Hymenoptera; Eurytomidae). Hilgardia, 38, 427–469. DOI:10.3733/hilg.v38n12p427

Bernays, E. A. & Chapman, R. F. 1994. Host-plant selection by phytophagous insects. Chapman & Hall. USA. p. 312.

Braga-filho, J. R., Veloso, V. R. S., Naves, R. V., Nascimento, J. L. & Cháves, L. J. 2007. Danos causados por insetos em frutos e sementes de araticum (Annona crassiflora Mart., 1841) no Cerrado de Goiás. Bioscience Journal, 4, 21–28.

Brennan, E. B., Weinbaum, S. A., Rosenheim, J. A., & Karban, R. 2001. Heteroblasty in Eucalyptus globulus (Myricales: Myricaceae) affects ovipositonal and settling preferences of Ctenarytaina eucalypti and C. spatulata (Homoptera: Psyllidae). Environmental Entomology, 30, 1144–1149. DOI: 10.1603/0046-225X-30.6.1144

Brody, A. K. 1992. Oviposition choices by a pre-dispersal seed predator (Hylemya sp.). Oecologia, 91, 56–62. DOI: 10.1007/BF00317241

Cocucci, A. E. & Mariath J. E. A. 2004. Gametogênese, fecundação, seleção do gametófito mais apto, embriogênese e diásporo maduro. In: A. G. Ferreira & F. Borghetti (Eds). Germinação: do básico ao aplicado. pp. 15–30. Ed. Artmed, São Paulo.

De Melo, D. L. B. 2009. Dispersão, fenología e conservação de Annona crassiflora Mart. (Annonaceae). Doctoral Thesis. Universidade Federal de Lavras, Lavras, Minas Gerais, Brazil. p. 65. Retrieved from: http://repositorio.ufla.br/jspui/handle/1/4072

Elias, L.G., Kjellberg, F., Farache, F.H.A., Almeida, E.A.B., Rasplus, J.-Y., Cruaud, A., Peng, Y.-Q., Yang, D.-R., Pereira, R.A.S., 2018. Ovipositor morphology correlates with life history evolution in agaonid fig wasps. Acta Oecologica, 90, 109–116. DOI: 10.1016/j.actao.2017.10.007

Fenner, M., Cresswell, J., Hurley, R. & Baldwin, T. 2002. Relationship between capitulum size and pre-dispersal seed predation by insect larvae in common Asteraceae. Oecologia, 130, 72–77. DOI: 10.1007/s004420100773

Fenner, M. & Thompson, K. 2005. The ecology of seeds. Cambridge University Press. p. 250.

Gerrits, P. O. & Horobin, R. W. 1991. The application of glycol methacrylate in histotechnology; some fundamental principles. Faculteit der Geneeskunde, Rijksuniversiteit Groningen. p. 160.

Ghara, M., Kundanati, L. & Borges, R. M. 2011. Nature’s swiss army knives: ovipositor structure mirrors ecology in a multitrophic fig wasp community. PLoS ONE, 6, 1–9 e23642. DOI: 10.1371/journal.pone.0023642

Green, T. W. & Palmbald, I. G. 1975. Effects of insect seed predators on Astragalus cibarius and Astragalus utahensis (Leguminosae). Ecology, 56, 1435–1440. DOI: 10.2307/1934711

Greig, N. 1993. Predispersal seed predation on five Piper species in tropical rainforest. Oecologia, 93, 412–420. DOI: 10.1007/BF00317886

Grissell, E. E. & Hobbs, K. R. 2000. Megastigmus transvaalensis (Hussey) (Hymenoptera: Torymidae) in California: methods of introduction and evidence of host shifting. In: Hymenoptera: evolution, biodiversity and biological control (Fourth International Hymenoptera Conference). pp. 267–280. Canberra, Australia.

Grissell, E. E. & Schauff, M. E. 1990. A synopsis of the seed-feeding genus Bephratelloides (Chalcidoidea: Eurtomidae). Proceedings of the Entomological Society of Washington, 92, 177–187.

Heraty, J. M., Burks, R. A., Cruaud, A., Gibson, G. A. P., Liljeblad, J., Munro, J., Yoder, M. 2013. A phylogenetic analysis of the megadiverse Chalcidoidea (Hymenoptera). Cladistics, 29, 466–542. DOI: 10.1111/cla.12006

Herre, E. A. & West, S. A. 1997. Conflict of interest in a mutualism: documenting the elusive fig wasp-seed trade-off. Proceedings of the Royal Society of London Series B-Biological Sciences, 264, 1501–1507. DOI: 10.1098/rspb.1997.0208

Herrera, C. 1984. Avian interference of insect frugivory: an exploration into the plant-bird-fruit pest evolutionary triad. Oikos, 42, 203–210.

Janšta, P., Cruaud, A., Delvare, G., Genson, G., Heraty, J., Křížková, B., Rasplus, J.-Y. 2018. Torymidae (Hymenoptera, Chalcidoidea) revised: molecular phylogeny, circumscription and reclassification of the family with discussion of its biogeography and evolution of life-history traits. Cladistics, 34, 627–651. DOI: 10.1111/cla.12228

Jansen-González, S., De Padua Teixeira, S. & Pereira, R. A. S. 2012. Mutualism from the inside: coordinated development of plant and insect in an active pollinating fig wasp. Arthropod-Plant Interactions, 6, 601–609. DOI: 10.1007/s11829-012-9203-6

Jansen-González, S. 2013. Estratégias de utilização de sementes como recurso alimentar em Chalcidoidea (Hymenoptera). Doctoral Thesis. Universidade de São Paulo, Ribeirão Preto, São Paulo, Brasil. 79 p. Retrieved from: https://www.ffclrp.usp.br/imagens_defesas/03_07_2014__15_36_19__45.pdf

Jansen-González, S., De Padua Teixeira, S., Kjellberg, F. & Pereira, R. A. S. 2014. Same but different: larval development and gall-inducing process of a non-pollinating fig wasp compared to that of pollinating fig-wasps. Acta Oecologica, 57, 44–50. DOI: 10.1016/j.actao.2013.07.003

Johansen, D. A. 1940. Plant microtechnique. McGraw-Hill. p. 523.

Johnson, C. D., Romero, J., 2004. A review of evolution of oviposition guilds in the Bruchidae (Coleoptera). Revista Brasileira de Entomologia, 48, 401–408. DOI: 10.1590/S0085-56262004000300017

Kearsley, M. J. C. & Whitham, T. G. 1989. Developmental changes in resistance to herbivory: implications for individuals and populations. Ecology, 70(2), 422–434. DOI: 10.2307/1937547

Labandeira, C. 2007. The origin of herbivory on land: initial patterns of plant tissue consumption by arthropods. Insect Science, 14, 259–275. DOI: 10.1111/j.1744-7917.2007.00141.x-i1

Labandeira, C. 1998. Early history of arthropod and vascular plant associations. Annual Review of Earth and Planetary Sciences, 26, 329–377. DOI: 10.1146/annurev.earth.26.1.329

La Salle, J. 2005. Biology of gall inducers and evolution of gall induction in Chalcidoidea (Hymenoptera: Eulophidae, Eurytomidae, Pteromalidae, Tanaostigmatidae, Torymidae). In: Raman, A., Schaefer, C. W., & Withers, T. M. (Eds.). Biology, ecology, and evolution of gall-inducing arthropods. pp. 507–538. Enfield, (NH): Science Publishers.

Lawrence, R., Potts, B. M. & Whitham, T. G. 2003. Relative importance of plant ontogeny, host genetic variation, and leaf age for a common herbivore. Ecology, 85, 1171–1178. DOI: 10.1890/0012-9658(2003)084[1171:RIOPOH]2.0.CO;2

Le Ralec, A., Rabasse, J. M. & Wajnberg, E. 1996. Comparative morphology of the ovipositor of some parasitic Hymenoptera in relation to characteristics of their hosts. The Canadian Entomologist, 128, 413–433. DOI: 10.4039/Ent128413-3

Lenzi, M., Orth, A. I., 2004. Characterization of the functional reproductive system of the pink-pepper (Schinus terebinthifolius Raddi), in Florianópolis, SC, Brazil. Revista Brasileira de Fruticultura, 26, 198–201. DOI: 10.1590/S0100-29452004000200004

Lersten, N. R. 2004. Flowering plant embryology. Blackwell Publishing. p. 212.

Lotfalizadeh, H., Delvare, G., Rasplus, J.-Y. 2007. Phylogenetic analysis of Eurytominae (Chalcidoidea: Eurytomidae) based on morphological characters. Zoological Journal of the Linnean Society, 151, 441–510. DOI: 10.1111/j.1096-3642.2007.00308.x

Lowe, S., Browne, M., Boudjelas, S. & De Poorter, M. 2000. 100 of the world’s worst invasive alien species - a selection from the global invasive species database. The Invasive Species Specialist Group (ISSG) a specialist group of the Species Survival Commission (SSC). World Conservation Union (IUCN). p. 11.

Macêdo, M. V., Pimental, M. C. P. & Cardosa, R. 1998. Response of Pithecellobium tortum Martius (Leguminosae) seeds to the attack of the phytophagous braconid Allorhogas dyspistus Marsh (Hymenoptera: Braconidae). Journal of Hymenoptera Research, 7, 274–279. DOI: 10.5962/bhl.part.29283

Milliron, H. E. 1949. Taxonomic and biological investigations in the genus Megastigmus with particular reference to the taxonomy of the Nearctic species (Hymenoptera: Chalcidoidea; Callimomidae). American Midland Naturalist, 41, 257–420. DOI: 10.2307/2421720

O’Brien, T. P., Feder, N. & McCully, M. E. 1964. Polychromatic staining of plant cell walls by toluidine blue O. Protoplasma, 59, 368–373. DOI: 10.1007/BF01248568

Östergård, H., Hambäck, P. A. & Ehrlén, J. 2007. Pre-dispersal seed predation: the role of fruit abortion and selective oviposition. Ecology, 88, 2959–2965. DOI: 10.1890/07-0346.1

Pennacchio, F. & Strand, M. R. 2006. Evolution of developmental strategies in parasitic hymenoptera. Annual Review of Entomology, 51, 233–258. DOI: 10.1146/annurev.ento.51.110104.151029

Perioto, N. W. 1997. Primeira ocorrência do gênero Megastigmus Dalman, 1820 (Hymenoptera: Torymidae) e primeiro registro da família Megastiminae para o Brasil. Arquivos do Instituto Biológico São Paulo, 64, 115–116.

Quicke, D. L. J., Fitton, M. G., Tunstead, J. R., Ingram, S. M. & Gaitens, P. V. 1994. Ovipositor structure and relationships within the Hymenoptera, with special reference to the Ichneumonoidea. Journal of Natural History, 28, 635–682. DOI: 10.1080/00222939400770301

Scheffer, S. J. & Grissell, E. E. 2003. Tracing the geographical origin of Megastigmus transvaalensis (Hymenoptera: Torymidae): an African wasp feeding on a South American plant in North America. Molecular Ecology, 12, 415–421. DOI: 10.1046/j.1365-294X.2003.01725.x

Serrano, J. M., Delgado, J. A., López, F.; Acosta, F. J. & Fungairiño, S. G. 2001. Multiple infestation by seed predators: the effect of loculate fruits on intraspecific insect larval competition. Acta Oecologica, 22, 153–160. DOI: 10.1016/S1146-609X(01)01111-0

Straw, N. A. 1989. Taxonomy, attack strategies and host relations in flowerhead Tephritidae: a review. Ecological Entomology, 14, 455–462. DOI: 10.1111/j.1365-2311.1989.tb00947.x

Takagi, E., Iguchi, K., Suzuki, M. & Togashi, K. 2010. Selective oviposition in fertilized seed of Ilex integra by the wasp Macrodasyceras hirsutum (Hymenoptera: Torymidae). European Journal of Entomology, 107, 197–202. DOI: 10.14411/eje.2010.026

Vinson, S. B. & Iwantsch, G. F. 1980. Host regulation by insect parasitoids. The Quarterly Review of Biology, 55, 143–165. DOI: 10.1086/411731

Waltz, A. M. & Whitham, T. G. 1997. Plant development affects arthropod communities: opposing impacts of species removal. Ecology, 78, 2133–2144. DOI: 10.2307/2265950

Downloads

Published

2020-12-14