DISRUPTION AND RECOVERY OF BACTERIAL COMMUNITY STRUCTURE OF AN ATLANTIC FOREST SOIL AFTER EXPOSURE TO GASOHOL

Authors

  • Janaína Fernandes Araújo Universidade Federal de Viçosa, Programa de Pós-Graduação em Microbiologia Agrícola, Microbiology Department, Laboratório de Biotecnologia e Biodiversidade para o Meio Ambiente – LBBMA. P.H. Rolfs St. CEP:36570-000. Viçosa, MG, Brazil
  • Rita de Cássia Rocha Fernandes Universidade Federal de Viçosa, Programa de Pós-Graduação em Microbiologia Agrícola, Microbiology Department, Laboratório de Biotecnologia e Biodiversidade para o Meio Ambiente – LBBMA. P.H. Rolfs St. CEP:36570-000. Viçosa, MG, Brazil
  • Edmo Montes Rodrigues Universidade Federal de Viçosa, Programa de Pós-Graduação em Microbiologia Agrícola, Microbiology Department, Laboratório de Biotecnologia e Biodiversidade para o Meio Ambiente – LBBMA. P.H. Rolfs St. CEP:36570-000. Viçosa, MG, Brazil
  • Marcos Rogério Tótola Universidade Federal de Viçosa, Programa de Pós-Graduação em Microbiologia Agrícola, Microbiology Department, Laboratório de Biotecnologia e Biodiversidade para o Meio Ambiente – LBBMA. P.H. Rolfs St. CEP:36570-000. Viçosa, MG, Brazil

DOI:

https://doi.org/10.4257/oeco.2019.2303.07

Keywords:

hydrocarbon bioremediation, microbial ecology, microbial succession, resilience, Tropical forest soil

Abstract

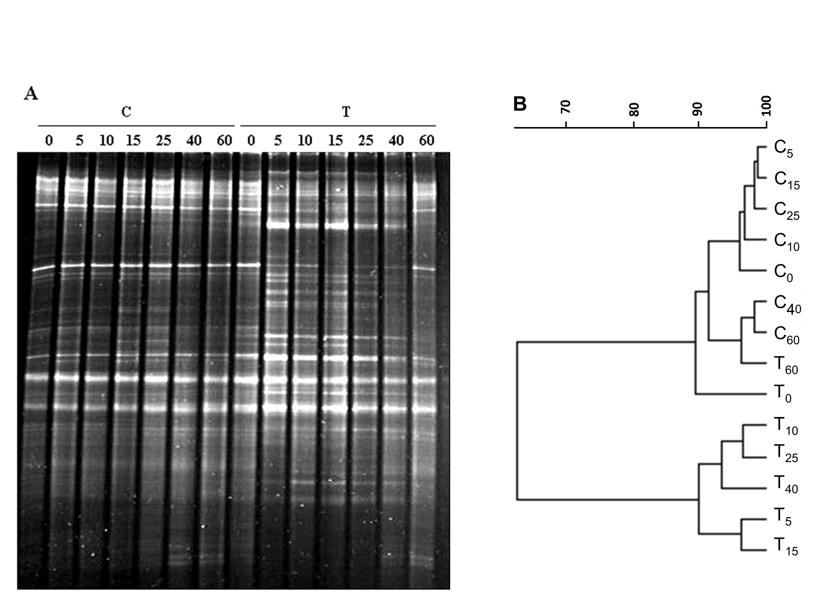
This article reports the effects of gasohol on the genetic of a bacterial community of a tropical Atlantic Forest soil. Hydrocarbon and ethanol biodegradation was accompanied by CO2 emission. Gasohol had an immediate impact on genetic structure of bacteria and on respiratory metabolism of soil microbial community. Cluster analysis of DGGE band pattern indicated a shift in the community structure between the fifth and fortieth days after contamination. At 60 days after contamination, the DGGE profile of the bacterial community in the contaminated soil was similar to that found in the non-contaminated control. Gasohol addition increased the respiratory rate of the soil, peaking at 3 days and returning to basal level at 15 days after contamination. We concluded that gasohol contamination causes a strong transient impact on soil microbial community structure that is completely reversed after a few days following contaminant removal. Secondary succession after contamination resulted in a bacterial community of identical genetic structure to that found before contamination. Our results point out to a high resilience of microbial community established in Atlantic Forest soil.

Downloads

Download data is not yet available.

Author Biography

Rita de Cássia Rocha Fernandes, Universidade Federal de Viçosa, Programa de Pós-Graduação em Microbiologia Agrícola, Microbiology Department, Laboratório de Biotecnologia e Biodiversidade para o Meio Ambiente – LBBMA. P.H. Rolfs St. CEP:36570-000. Viçosa, MG, Brazil

Microbiology Department

References

Alrumman, S. A., Standing, D. B., & Paton, G. I. 2015. Effects of hydrocarbon contamination on soil microbial community and enzyme activity. Journal of King Saud University, 27(1), 31–41. DOI: 10.1016/j.jksus.2014.10.001

Alvarez, V. M., Marques, J. M., Korenblum, E., & Seldin, L. 2011. Comparative bioremediation of crude oil-amended tropical soil microcosms by natural attenuation, bioaugmentation, or bioenrichment. Applied and Environmental Soil Science, 2011, 156320, 1–10. DOI: 10.1155/2011/156320

Andrade, L. N., Araujo, S. F., Matos, A. T., Henriques, A. B., Oliveira, L. C., Souza, P. P., Chagas, P., Leão, M. M. D., & Amorim, C. C. 2017. Performance of different oxidants in the presence of oxisol: Remediation of groundwater contaminated by gasoline/etanol blend. Chemical Engineering Journal, 308(15), 428–437. DOI: 10.1016/j.cej.2016.09.069

Baldrian, P. 2017. Editorial: Special thematic issue on the ecology of soil microorganisms. FEMS Microbiology Ecology, 93(2), fiw237. DOI: 10.1093/femsec/fiw237

Bao, M. T., Wang, L. N., Sun, P. Y., Cao, L. X., Zou, J., & Li, Y. M. 2012. Biodegradation of crude oil using an efficient microbial consortium in a simulated marine environment. Marine Pollution Bulletin, 64(6), 1177–1185. DOI: 10.1016/j.marpolbul.2012.03.020

Birkhofer, K., Bezemer, T. M., Bloem, J., Bonkowski, M., Christensen, S., Dubois, D., Ekelund, F., Fliebach, A., Gunst, L., Hedlund, K., Mäder, P., Mikola, J., Robin, C., Setälä, H., Tatin-Froux, F., Van der Putten, W. H., & Scheu, S. 2008. Long-term organic farming fosters below and aboveground biota: Implications for soil quality, biological control and productivity. Soil Biology and Biochemistry, 40(9), 2297–2308. DOI: 10.1016/j.soilbio.2008.05.007

Chen, J., Xu, H., He, D., Li, Y., Luo, T., Yang, H., & Lin, M. 2019. Historical logging alters soil fungal community composition and network in a tropical rainforest. Forest Ecology and Management, 433(15), 228–2239. DOI: 10.1016/j.foreco.2018.11.005

Corseuil, H. X., & Marins, M. D. M. 1997. Contaminação de águas subterrâneas por derramamentos de gasolina: o problema é grave? Engenharia Sanitaria e Ambiental, 2(2), 50–54.

Demirbas, A. 2009. Emission characteristics of gasohol and diesohol. Energy Sources, Part A: Recovery, Utilization, and Environmental Effects, 31(13), 1099–1104. DOI: 10.1080/10916460801907120

Duineveld, B. M., Kowalchuk, G. A., Keijzer, A., van Elsas, J. D., & van Veen, J. A. 2001. Analysis of bacterial communities in the rhizosphere of chrysanthemum via denaturing gradient gel electrophoresis of PCR-amplified 16S rRNA as well as DNA fragments coding for 16S rRNA. Applied and Environmental Microbiology, 67(1), 172–178. DOI: 10.1128/AEM.67.1.172-178.2001

El Fantroussi, S., & Agathos, S. N. 2005. Is bioaugmentation a feasible strategy for pollutant removal and site remediation? Current Opinion in Microbiology, 8(3), 268–275. DOI: 10.1016/j.mib.2005.04.011

Evans, F. F., Rosado, A. S., Sebastián, G. V., Casella, R., Machado, P. L. O. A., Holmström, C., Kjelleberg, S., & van Elsas, J. D. 2004. Impact of oil contamination and biostimulation on the diversity of indigenous bacterial communities in soil microcosms. FEMS Microbiology Ecology, 49(2), 295–305. DOI: 10.1016/j.femsec.2004.04.007

Faoro, H., Alves, A. C., Souza, E. M., Rigo, L. U., Cruz, L. M., Al-Janabi, S. M., Monteiro, R. A., Baura, V. A., & Pedrosa, F. O. 2010. Influence of soil characteristics on the diversity of bacteria in the Southern Brazilian Atlantic Forest. Applied and Environmental Microbiology, 76(14), 4744–4749. DOI: 10.1128/AEM.03025-09

Habe, H., & Omori, T. 2003. Genetics of polycyclic aromatic hydrocarbon metabolism in diverse aerobic bacteria. Bioscience, Biotechnology, and Biochemistry, 67(2), 225–243. DOI: 10.1271/bbb.67.225

Hill, G. T., Mitkowski, N. A., Aldrick-Wolfe, L., Emele, L. R., Jurkonie, D. D., Ficke, A., Maldonado-Ramirez, S., Lynch, S. T., & Nelson, E. B. 2000. Methods for assessing the composition and diversity of soil microbial communities. Applied Soil Ecology, 15(1), 25–36. DOI: 10.1016/S0929-1393(00)00069-X

Jung, J., Philippot, L., & Park, W. 2016. Metagenomic and functional analyses of the consequences of reduction of bacterial diversity on soil functions and bioremediation in diesel-contaminated microcosms. Scientific Reports, 6, 23012. DOI: 10.1038/srep23012

Khan, F. I., Husain, T., & Hejazi, R. 2004. An overview and analysis of site remediation technologies. Journal of Environmental Management, 71(2), 95–122. DOI: 10.1016/j.jenvman.2004.02.003

Khan, M. A. I., Biswas, B., Smith, E., Mahmud, S. A., Hasan, N. A., Khan, M. W. A. W., Naidu, R., & Megharaj, M. 2018. Microbial diversity changes with rhizosphere and hydrocarbons in contrasting soils. Ecotoxicology and Environmental Safety, 156, 434–442. DOI: 10.1016/j.ecoenv.2018.03.006

Khan, M. A. I., Biswas, B., Smith, E., Naidu, R., & Megharaj, M. 2018. Toxicity assessment of fresh and weathered petroleum hydrocarbons in contaminated soil- a review. Chemosphere, 212, 755–767. DOI: 10.1016/j.chemosphere.2018.08.094

Laverman, A. M., Braster, M., Röling, W. F. M., & van Verseveld, H. W. 2005. Bacterial community structure and metabolic profiles in a forest soil exhibiting spatially variable net nitrate production. Soil Biology and Biochemistry, 37(9), 1581–1588. DOI: 10.1016/j.soilbio.2005.01.019

Leahy, J. G., & Colwell, R. R. 1990. Microbial degradation of hydrocarbons in the environment. Microbiology Reviews, 54(3), 305–315.

Martínez-Pascual, E., Grotenhuis, T., Solanas, A. M., & Viñas, M. 2015. Coupling chemical oxidation and biostimulation: Effects on the natural attenuation capacity and resilience of the native microbial community in alkylbenzene-polluted soil. Journal of Hazardous Materials, 300, 135–143. DOI: 10.1016/j.jhazmat.2015.06.061

Mummey, D. L., Stahl, P. D., & Buyer, J. S. 2002. Microbial biomarkers as an indicator of ecosystem recovery following surface mine reclamation. Applied Soil Ecology, 21(3), 251–259. DOI: 10.1016/S0929-1393(02)00090-2

Muyzer, G., Waal, E. C., & Uitterlinden, A. G. 1993. Profiling of complex microbial populations by denaturing gradient gel electrophoresis analyses of polymerase chain reaction-amplified genes coding for 16s rRNA. Applied and Environmental Microbiology, 59(3), 695–700.

Novak, E., Carvalho, L. A., Santiago, E. F., & Portilho, I. I. R. 2017. Chemical and microbiological attributes under different soil cover. Cerne 23(1), 19–30. DOI: 10.1590/01047760201723012228

Peixoto, R. S., Rosado, A. S., Coutinho, H. L., & Rumjanek, N. G. 2002. Use of the rpoB and 16S rDNA gene to analyze the bacterial diversity from native tropical soil by PCR/DGGE. Letters in Applied Microbiology, 35(4), 316–320.

Ribeiro, M. C., Metzger, J. P., Martensen, A. C., Ponzoni, F. J., & Hirota, M. M. 2009. The Brazilian Atlantic Forest: how much is left, and how is the remaining forest distributed? Implications for conservation. Biological Conservation, 142(6), 1141–1153. DOI: 10.1016/j.biocon.2009.02.021

Rodrigues, E. M., Kalks, K. H. M., & Tótola, M. R. 2015. Prospect, isolation, and characterization of microorganisms for potential use in cases of oil bioremediation along the coast of Trindade Island, Brazil. Journal of Environmental Management. 156(1), 15–22. DOI: 10.1016/j.jenvman.2015.03.016

Siles, J. A., & Margesin, R. 2018. Insights into microbial communities mediating the bioremediation of hydrocarbon-contaminated soil from an Alpine former military site, Applied Microbiology and Biotechnology, 102(10), 4409–4421. DOI: 10.1007/s00253-018-8932-6

Tótola, M. R., & Chaer, G. M. 2002. Microrganismos e processos microbiológicos como indicadores da qualidade dos solos. In: V. V. H. Alvarez, C. E. G. R. Schaefer, N. F. Barros, J. W. V. Mello, & L. M. Costa (Eds.), Tópicos em ciência do solo. v. 2. pp. 195—276. Viçosa, MG: Sociedade Brasileira de Ciência do Solo.

van Elsas, J. D., Mantynen, V., & Wolters, A. 1997. Soil DNA extraction and assessment of the fate of Mycobacterium chlorophenolicum strain PCP-1 in different soils by 16S ribosomal RNA gene sequence based most-probable-number PCR and immunofluorescence. Biology and Fertility of Soils, 24(2), 188–195.

Wardle, D. A., & Giller, K. E. 1996. The quest for a contemporary ecological dimension to soil biology. Soil Biology and Biochemistry, 28(12), 1549–1554. DOI: 10.1016/S0038-0717(96)00293-3

Yu, K. S. H., Wong, A. H. Y., Yau, K. W. Y., Wong, Y. S., & Tam, N. F. Y. 2005. Natural attenuation, biostimulation and bioaugmentation on biodegradation of polycyclic aromatic hydrocarbons (PAHs) in mangrove sediments. Marine Pollution Bulletin, 51(8-12), 1071–1077. DOI: 10.1016/j.marpolbul.2005.06.006

Downloads

Published

2019-09-06